Ten przejrzysty plan leczenia zaczyna się od około 700 $. Ostateczny koszt jest ustalany po szczegółowej konsultacji w celu zapewnienia spersonalizowanego podejścia. Dr Ji Ho Ahn, który wykonał ponad 900 zabiegów, posiada stopień doktora (Ph.D.) Narodowego Uniwersytetu Seulskiego. Przeprowadza on precyzyjne wszczepianie implantów w Klinice Stomatologicznej Yonsei JW, która jest oficjalnym dostawcą systemu implantów stomatologicznych Straumann®. Pełne leczenie zazwyczaj wymaga dwóch wizyt i obejmuje 3-miesięczny okres osteointegracji. Klinika przyjmuje rocznie 5 000 pacjentów zagranicznych, kładąc duży nacisk na opiekę pozabiegową, aby zapewnić długowieczność implantów.
Czym są koreańskie implanty dentystyczne?
Implanty dentystyczne to sztuczne korzenie, które są umieszczane w szczęce w celu zastąpienia brakujących zębów. Na ich wierzchu zakładana jest korona lub most, aby przywrócić funkcje żucia i wygląd.
W Korei Południowej implanty dentystyczne są:
- Wykonane z biokompatybilnego tytanu lub dwutlenku cyrkonu, które ściśle łączą się z kością, zmniejszając ryzyko odrzutu lub zapalenia.
- Produkowane przez czołowych światowych producentów, takich jak Osstem i Dentium.
- Instalowane przy użyciu zaawansowanych technologii cyfrowych, takich jak chirurgia prowadzenia 3D.
Najważniejsze jest to, że koreańskie implanty są projektowane z myślą o długiej żywotności - według badań około 97% z nich pozostaje w pełni funkcjonalnych po 10 latach.
Kto jest idealnym kandydatem do leczenia za pomocą implantów dentystycznych?
Idealnym kandydatem do implantacji zębów jest osoba, która:
✔ Ma jeden lub więcej brakujących zębów.
✔ Ma wystarczającą ilość kości szczęki do umieszczenia implantu (lub kwalifikuje się do przeszczepu kostnego lub podniesienia zatoki szczękowej).
✔ Utrzymuje dobrą higienę jamy ustnej i zdrowie dziąseł.
✔ Jest ogólnie zdrowy i nie ma niekontrolowanych schorzeń, takich jak ciężka cukrzyca czy rak.
✔ Nie pali lub jest gotów przestać w trakcie leczenia.
Dlaczego warto zdecydować się na implanty dentystyczne w Korei?
1. Przystępna cena implantacji zębów
Koszt implantacji zębów w Korei wynosi około $1,000 - $2,000, w porównaniu do $2,000 - $6,000 w krajach zachodnich. Nawet uwzględniając koszty podróży, całkowity koszt jest często o 50-70% niższy.
2. Światowe doświadczenie w zakresie implantów dentystycznych
Korea Południowa jest drugim największym eksporterem implantów dentystycznych na świecie. Jest ojczyzną takich systemów implantów jak Dentium, Megagen i Osstem, które są używane w ponad 70 krajach.
3. Jeden z najlepszych systemów opieki dentystycznej na świecie
Zgodnie z badaniem opublikowanym w Journal of Dental Health, Oral Disorders & Therapy, Korea Południowa zajmuje 2. miejsce na świecie pod względem efektywności systemu opieki stomatologicznej. Jest bardziej efektywna niż w USA, Wielkiej Brytanii, Kanadzie czy Australii.
4. Nowoczesne technologie
W koreańskich klinikach stomatologicznych regularnie stosuje się skanowanie 3D CBCT, cyfrowe wyciski i komputerowe zarządzanie instalacją implantów. Te narzędzia czynią leczenie bezpieczniejszym, szybszym i dokładniejszym.
5. Doświadczeni, wykwalifikowani dentyści
Każdego roku dentyści w Korei Południowej przeprowadzają ponad 1,8 miliona procedur implantacji zębów. Implantolodzy współpracujący z Bookimed odbywają międzynarodowe szkolenia w takich instytucjach jak Uniwersytet Johnsa Hopkinsa i uczą w najlepszych koreańskich uniwersytetach, takich jak Szkoła Dentystyczna Uniwersytetu Yonsei - jedna z najbardziej prestiżowych instytucji stomatologicznych w Azji.
6. Krótkie czasy oczekiwania
W przeciwieństwie do USA, Australii czy Wielkiej Brytanii, gdzie pacjenci często czekają nawet do 18 tygodni, koreańskie kliniki stomatologiczne mogą zaplanować operację implantacji w ciągu kilku dni.
7. Bezbolesny pobyt dla pacjentów zagranicznych
Kliniki są dobrze przygotowane do turystyki dentystycznej. Oferują personel mówiący po angielsku, jasne plany leczenia oraz pomoc w organizacji transferów z lotniska i zakwaterowania. Proces przebiega szybko, efektywnie i w czasie trwania krótkiej podróży.
Jakie rodzaje implantów dentystycznych są dostępne w Korei?
1. Implanty śródkostne
To najbardziej tradycyjny typ implantów. Są one umieszczane bezpośrednio w kości szczęki i idealnie nadają się dla pacjentów ze zdrową objętością kości.
2. Implanty podokostnowe
Stosowane, gdy kość szczęki nie jest wystarczająco mocna, a pacjent nie może poddać się zabiegowi przeszczepu kostnego. Są umieszczane na powierzchni kości, pod dziąsłem.
3. Implanty jarzmowe
Przy dużej utracie kości szczęki górnej, implanty jarzmowe są mocowane nie w kości szczęki, ale w kości jarzmowej (zygoma).
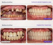
4. Implantacja całej szczęki (All-on-4 / All-on-6)
Dla pacjentów, którzy utracili większość lub wszystkie naturalne zęby, koreańskie kliniki oferują odbudowę całej jamy ustnej. Obejmuje ona umieszczenie 4 lub 6 implantów do wspierania stałego łuku z protetykami. To stabilna i długoterminowa alternatywa dla protez ruchomych.
5. Mini-implanty
Posiadają mniejszą średnicę (poniżej 3 mm) i często mogą być umieszczone podczas jednej wizyty bez nacinania dziąsła. Mini-implanty są idealne do stabilizacji protez u pacjentów z ograniczoną ilością kości. Jednak są mniej trwałe i nie są zalecane do zastępowania trzonowców lub pełnego łuku zębowego.
Jakie kliniki są najlepsze do implantacji zębów w Korei Południowej?
Zgodnie z rankingiem Bookimed, oto najlepsze koreańskie kliniki do implantacji zębów, opracowane na podstawie certyfikacji, szkolenia lekarzy, zadowolenia pacjentów i korzystania z nowoczesnych technologii:
| Klinika | Lokalizacja | Czym się wyróżnia | Szacowany koszt |
| Klinika Stomatologiczna Yonsei Uline | Seul | Klinika Stomatologiczna Yonsei Uline posiada certyfikat KOIHA. Lekarze przeszli szkolenia w Yonsei, Uniwersytecie Nowojorskim i Uniwersytecie Pacyficznym. | ~ $13,200 za implantację całej szczęki |
| Klinika Stomatologiczna S-Plant | Seul (Gangnam) | Absolwenci Uniwersytetu Narodowego w Seulu, 3D-KT, własne laboratorium, aromaterapia i programy bezstresowego odzyskiwania zdrowia. | ~ $1,800 za jeden koreański implant |
| Klinika Stomatologiczna DIER | Daejeon | Lokalne znieczulenie z anestezjologiem. Ponad 15,000 pacjentów w ciągu 18 lat. | ~$10,000 za implantację całej szczęki |
| Klinika Stomatologiczna Seoul Today | Goyang (niedaleko Seulu) | Lekarze przeszkoleni w USA i SNU. Ponad 16,000 pacjentów rocznie. 30-40 minut od międzynarodowego lotniska Incheon. | $1,500-$1,800 za pojedynczy ząb / $9,000-$10,500 za pełny łuk |
| Gangnam Gentle Dental | Seul (Gangnam) | Specjalizacja w kierunku estetyki i technologii 3D. Kieruje dr Sungho Kim, sędzia konkursu Miss Korea Global. | $1,000 - $2,000 za koreański implant |
Jak przebiega procedura implantacji zębów w Korei?
Procedura implantacji zębów zazwyczaj wymaga dwóch wizyt w ciągu 3-6 miesięcy, z okresem gojenia pomiędzy nimi.
➡️ Wizyta 1 (2-3 dni)
Po wstępnej konsultacji i skanowaniu 3D, dentysta umieszcza implant w kości szczęki. W razie potrzeby na tym etapie specjaliści przeprowadzają przeszczep kości lub podniesienie zatoki szczękowej.
➡️ Okres gojenia (3-6 miesięcy).
Implant łączy się z kością w procesie nazywanym osteointegracją. Noszenie tymczasowej protezy lub korony na tym etapie pomaga pacjentom komfortowo jeść i mówić w oczekiwaniu na ostateczne formowanie zębów.
➡️ Wizyta 2 (3-5 dni)
Do implantu przymocowany jest łącznik (element łączący), a następnie korona lub stały most. Przed zakończeniem leczenia przeprowadza się korektę osadzenia i zgryzu zębów.
Jaki jest proces odzyskiwania zdrowia i dalszej opieki?
Pacjenci szybko odzyskują zdrowie po operacji umieszczenia koreańskich implantów. Lekki obrzęk, siniaki lub dyskomfort są charakterystyczne dla pierwszych 2-5 dni i ustępują dzięki środkom przeciwbólowym i miękkiej diecie.
Bardzo ważna jest dobra higiena jamy ustnej:
- delikatnie myj zęby szczoteczką z miękkim włosiem;
- używaj antybakteryjnych płukanek do ust, jeśli zostały przepisane;
- uczestnicz w wizytach kontrolnych.
Regularne wizyty u dentysty i czyszczenie zębów zapobiegają takim powikłaniom, jak uszkodzenie implantu lub zapalenie dziąseł.
Jak wybrać najlepszą klinikę i dentystę w Korei?
- Sprawdź kwalifikacje. Szukaj klinik posiadających certyfikację KOIHA i dentystów wykształconych na najlepszych uczelniach, takich jak Uniwersytet Yonsei czy Uniwersytet Narodowy w Seulu.
- Pytaj o doświadczenie. Wybieraj dentystów, którzy regularnie przeprowadzają implantacje. Pytaj ilu procedur przeprowadzają rocznie.
- Sprawdzaj nowoczesne technologie. W dobrej klinice powinny być stosowane skanowanie 3D CBCT, cyfrowe wyciski i prowadzone montowanie implantów.
- Sprawdzaj marki implantów. Pytaj, czy używają najlepszych koreańskich implantów, takich jak Osstem i Dentium, lub zagranicznych, takich jak Straumann.
- Sprawdzaj opinie i zdjęcia pacjentów. Szukaj rzeczywistych przypadków "przed i po" oraz opinie pacjentów zagranicznych.
- Upewnij się, że jest wsparcie dla turystyki medycznej. Upewnij się, że klinika oferuje anglojęzyczny personel medyczny i jasne plany leczenia zębów, jeśli przybywasz z zagranicy.
Co można oczekiwać, wybierając się do Korei w celu przeprowadzenia operacji implantacji zębów?
| Kategoria | Szczegóły |
| Wiza | Większość zachodnich turystów otrzymuje bezwizowy wjazd na 90 dni |
| Lot | Z USA: $600-$800 w obie strony, ~13-14 godzin. Z Europy: €500-€600, ~11-12 godzin. |
| Zakwaterowanie | Budżetowe: $50-100/noc. Średni poziom: $100-200/noc. |
| Codzienne wydatki | Wyżywienie: ~$40/dzień. Transport publiczny: ~$4-10/dzień. |
| Metody płatności | Kliniki stomatologiczne akceptują KRW, karty Visa/Mastercard, przelewy bankowe i czeki. Może być pobierana opłata za przetwarzanie (1-4%). |
| Bezpieczeństwo | Korea Południowa znajduje się wśród 20 najbezpieczniejszych krajów świata. W sytuacjach awaryjnych zadzwoń na 119. |
💚 Większość klinik stomatologicznych oferuje zniżki na zakwaterowanie w pobliskich hotelach i transport z lotniska za dodatkową opłatą.
Jakie są alternatywy dla implantów dentystycznych?
Jeśli wyniki badań dentystycznych wskazują, że implantacja nie jest odpowiednia, pacjenci mogą rozważyć następujące opcje:
- Mosty dentystyczne - wykorzystują sąsiednie zęby do wsparcia jednego lub kilku sztucznych zębów);
- Protezy ruchome - zastępują kilka lub wszystkie brakujące zęby i mogą być wyjmowane do czyszczenia.
Zasoby
- Chirurgia twarzowo-szczękowa. (2023). Dziesięcioletnie przeżycie stożkowych implantów samogwintujących na poziomie kostnym u koreańskich pacjentów z istniejącymi schorzeniami w oddziale chirurgii twarzowo-szczękowej.
- Klinika Mayo. (2024). Chirurgia implantów dentystycznych.
- The Korea Times. (2024). Eksport implantów dentystycznych osiągnął historyczny poziom: dane.
- Journal of Dental Health, Oral Disorders & Therapy. (2024). Porównanie stanu zdrowia jamy ustnej i kosztów opieki stomatologicznej w dziesięciu krajach o wysokich dochodach.




























