Na stronę główną
820К+ pacjentów otrzymało pomoc od 2014 roku
50 kraje
1,500 kliniki
6K+ opinie
3K+ wykwalifikowani lekarze

Ile kosztuje implantacja zębów za pomocą technologii all-on-4 ("wszystko na czterech"). w Los Algodones?

All-on-4 dental implants in Los Algodones typically cost from $7,800 to $10,500. Total costs depend on the implant brand, bridge material, and whether you need bone grafting or sinus lifts. Patients save around 60% compared to the US, where this procedure costs $30,000 on average. Packages often include Straumann or Nobel Biocare implants, 3D CT scans, and temporary prostheses.

  • Implant brand: Premium brands like Straumann or Nobel Biocare usually increase the total package price.
  • Bridge material: Zirconia options typically add a 30-40% premium over standard acrylic hybrid bridges.
  • Preparatory work: Necessary tooth extractions and bone grafting are priced separately from the implant surgery.
  • Sedation preference: IV sedation generally adds a set fee if chosen over standard local anesthesia.

Bookimed Expert Insight: Los Algodones concentrates more dental specialists per square mile than any other city in Mexico. This creates a unique value-hub where clinics like Sani Dental Group and Dental Del Rio compete on volume and specialized credentials. For example, Dental Del Rio staff have trained at Harvard Medical School and the Malo Institute. This high competition ensures that even mid-tier clinics offer ADA-compliant materials at foundational prices.

Dane zweryfikowane przez Bookimed na May 2026, na podstawie zapytań pacjentów i oficjalnych wycen z 350 klinik na całym świecie. Koszty mediany opierają się na rzeczywistych fakturach (2025–2026) i są aktualizowane co miesiąc. Rzeczywiste ceny mogą się różnić.

Państwa korzyści i gwarancje z Bookimed

Bezpośrednie ceny od klinik i elastyczne raty

Państwo nie płacą za usługi Bookimed. Ceny na implantację zębów za pomocą technologii all-on-4 ("wszystko na czterech") na stronie odpowiadają cennikowi kliniki. Płatność dokonywana jest bezpośrednio w klinice po przyjeździe. Dostępna jest płatność w ratach.

Tylko zweryfikowane kliniki i lekarze

Bookimed dba o Państwa bezpieczeństwo. Współpracujemy tylko z klinikami spełniającymi wysokie międzynarodowe standardy w przeprowadzaniu implantacji zębów za pomocą technologii All-on-4 ("wszystko na czterech"). Posiadają one wymagane licencje do obsługi pacjentów międzynarodowych na całym świecie.

Bezpłatne wsparcie 24/7

Bookimed oferuje bezpłatną pomoc i wsparcie. Osobisty koordynator medyczny pozostaje w kontakcie przed, w trakcie i po podróży. Nie będą Państwo sami w innym kraju podczas procedury Implantacja zębów za pomocą technologii All-on-4 ("wszystko na czterech")..

Dlaczego właśnie my?

Wasz osobisty lekarz-koordynator Bookimed

  • Zapewnia wsparcie na wszystkich etapach
  • Pomaga wybrać odpowiednią klinikę i lekarza
  • Zapewnia szybki i wygodny dostęp do informacji

Ekskluzywne oferty w implantacji zębów za pomocą technologii All-on-4 ("wszystko na czterech") w Los Algodones na maj 2026 roku

Typ procedury
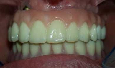
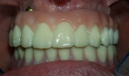
Efekt przed i po implantach All-on-4 w SoftDentalCare Clinic, przywrócony uśmiech
Efekt przed i po implantach All-on-4 w SoftDentalCare Clinic, odbudowa uśmiechu
Efekt implantów All-on-4 w SoftDentalCare Clinic – pełny łuk i naturalny uśmiech
Efekt implantów All-on-4 w SoftDentalCare Clinic, odbudowany łuk górny zębów
26 lat doświadczenia

All-on-4 z implantami Straumann i tymczasową protezą do odbudowy całego uzębienia

Dr Mario Garibay, który wykonał ponad 900 zabiegów metodą All-on-4, stosuje 4 szwajcarskie implanty Straumann na każdą szczękę oraz planowanie 3D CBCT w klinice SoftDentalCare. Cena oferty wynosi około 9 000 $ i obejmuje znieczulenie miejscowe, tomografię wolumetryczną oraz protezy tymczasowe i stałe. Klinika, będąca członkiem Meksykańskiego Towarzystwa Stomatologicznego, posiada 17-letnie doświadczenie wielospecjalistyczne, a dr Garibay ukończył zaawansowane szkolenie z zakresu implantologii na Uniwersytecie Loma Linda.

Dowiedzieć się o najlepszych klinikach w implantacji zębów za pomocą technologii All-on-4 ("wszystko na czterech") w Los Algodones: 14 sprawdzonych klinik i ceny

Ranking klinik Bookimed opiera się na algorytmach data science. Jego podstawą są takie kryteria: liczba zapytań od pacjentów, opinie (pozytywne i negatywne), aktualność cen i opcji leczenia, szybkość odpowiedzi kliniki oraz posiadanie certyfikatów.
Ivan Implant and Cosmetic Dental
Sani Dental Group Main Clinic
Dental Solutions Los Algodones
Venus Dentistry
Państwo przeglądali 5 z 14 klinik

Przegląd procedury Implantacja zębów za pomocą technologii All-on-4 ("wszystko na czterech"). w Meksyku

Główne dane
Podobne procedury i ceny
Jak to działa
Czego mogą się Państwo spodziewać
Zalety
Opcje płatności
pacjenci rekomendowane -
85%
Czas trwania operacji - 4 godziny
Czas pobytu w kraju - 9 dni
Rehabilitacja - 6 dni
Anestezja - Znieczulenie ogólne
Zweryfikowanych opinii pacjentów - 7
Koszt usług Bookimed - $0

Uzyskać ocenę medyczną dla implantacji zębów za pomocą technologii All-on-4 ("wszystko na czterech") w Los Algodones: znaleźć swojego specjalistę wśród 7 doświadczonych lekarzy

Wszyscy lekarze
zweryfikowany

Mario Garibay

26 lat doświadczenia

Dr. Mario Garibay is a dentist who specializes in dental implants and advanced denture fitting. He has over 20 years of experience. Dr. Garibay graduated from Veracruz University in 2000. He completed advanced training in dental implantology at Loma Linda University in 2005.

He is known for his skill in dental implants, dentures, and crowns. Patients and colleagues often praise his work. Dr. Garibay’s practice is recognized for high success rates in implant procedures. He is committed to providing personalized and high-quality dental care.

zweryfikowany

Alejandro Barragan

18 lat doświadczenia

Szkolony na Uniwersytecie Loma Linda w zakresie zaawansowanej implantologii, dr Barragan specjalizuje się w rozwiązaniach All-on-4 w Dental Del Rio.

  • Ukończył kurs zaawansowanej chirurgii przeszczepów kości w Misch Implants Institute
  • Członek Amerykańskiej Akademii Implantologii
  • Uczestniczył w wielu międzynarodowych forach i warsztatach stomatologicznych
  • Ponad dziesięcioletnie doświadczenie w implantologii i protetyce
zweryfikowany

Nilza Marquez

19 lat doświadczenia

Specjalizuje się w implantach stomatologicznych All-on-4 w gabinecie stomatologicznym DDS Nilza Márquez, oferując zaawansowane opcje leczenia w komfortowych warunkach.

  • Dąży do zapewnienia pięknego i zdrowego uśmiechu na całe życie
  • Koncentruje się na komforcie pacjenta i pozytywnych doświadczeniach
  • Współpracuje z zespołem profesjonalistów stomatologicznych
zweryfikowany

Roberto Vargas

10 lat doświadczenia

Specjalizacja w niedrogich i najwyższej jakości implantach dentystycznych All-on-4 w Varto Oral Surgery w Los Algodones w Meksyku.

  • Lata doświadczenia w chirurgii jamy ustnej
  • Koncentracja na implantach dentystycznych i pokrewnych procedurach
  • Zapewnia kompleksową opiekę dentystyczną, w tym korony i mosty

Opinie o Bookimed: poznać prawdziwe doświadczenia pacjentów

Wszystkie opinie
Irina • Implantacja zębów
Stany Zjednoczone Ameryki
19 lut 2022
Opinia potwierdzona.
Jesteśmy bardzo zadowoleni z kliniki i planujemy kontynuować leczenie właśnie w Sunny Dental Playa del Karman
Dziękujemy naszemu menadżerowi Bookimed Alexeyowi za uważne, profesjonalne rozwiązanie problemów i organizację naszej podróży. Jesteśmy bardzo zadowoleni z kliniki i planujemy kontynuację leczenia w Sunny Dental Playa del Karman.
O usłudze Bookimed
Dziękujemy naszemu menadżerowi Alexeyowi za uważne, profesjonalne rozwiązanie problemów i organizację naszej podróży. Jesteśmy bardzo zadowoleni z kliniki i planujemy kontynuację leczenia w Sunny Dental Playa del Karman.
Татьяна • Założenie ceramicznej korony
Ukraina
27 sty 2023
Opinia potwierdzona.
Jesteśmy bardzo zadowoleni z jakości pracy, profesjonalizmu dr
Tym razem skontaktowaliśmy się z centrum stomatologicznym Meksyku Dentavida do Dr. Alberto Guvera. Jesteśmy bardzo zadowoleni z jakości pracy, profesjonalizmu dr Alberto. Ale w przypadku mojego męża popełniono błąd medyczny w stomatologii tureckiej przy zakładaniu koron, który postaramy się rozwiązać w najbliższym czasie. Wtedy podzielimy się wynikami.
O usłudze Bookimed
Podziękowania dla konsultantów Bookimed za ich doskonałą pracę polegającą na terminowej pomocy w znalezieniu odpowiedniej kliniki w dowolnym regionie świata. W naszym przypadku nasza rodzina już drugi raz współpracuje nad problemem leczenia stomatologicznego, zakładaniem koron cyrkonowych (jesień 2022, luty 2023). Podoba mi się indywidualne podejście, szybka reakcja i zrozumienie sytuacji.Dobierani są jakościowo. nie tylko kliniki, ale także lekarze.
Kanstantsin Kachanau • Leczenie próchnicy
Stany Zjednoczone Ameryki
18 sie 2024
Opinia potwierdzona.
Rozsądne ceny i doskonała jakość
Rozsądne ceny i doskonała jakość. Uprzejmy i wykwalifikowany personel. Doskonała lokalizacja i parking. Dostępny jest transport do kliniki
Cena i jakość
Brak punktualności
Yevhenii Konstantinov • Most zębny z ceramiki
Kanada
19 lis 2024
Opinia potwierdzona.
Świetne podejście personelu!!!
Wszystko mi się w nim podobało

Implantacja zębów za pomocą technologii All-on-4 ("wszystko na czterech").: Zdjęcia przed i po

Wyświetlić wszystkie

Udostępnić tę treść

Zaktualizowano: 11/19/2024
Autor
Anna Leonova
Anna Leonova
Kierownik działu marketingu treści
Certyfikowany autor tekstów medycznych z ponad 10-letnim doświadczeniem, odpowiada za wiarygodność treści Bookimed. Posiada tytuł magistra filologii, przeprowadzała wywiady z ekspertami światowymi.
Fahad Mawlood
Redaktor medyczny, Data Scientist
Lekarz ogólny, laureat 4 konkursów prac naukowych młodych naukowców. Pracował na Bliskim Wschodzie. Były kierownik zespołu anglojęzycznych i arabskojęzycznych lekarzy-koordynatorów. Obecnie zajmuje się analizą danych i jest redaktorem medycznym strony.
Fahad Mawlood Linkedin
Na tej stronie mogą być prezentowane informacje dotyczące różnych chorób, metod leczenia oraz usług medycznych dostępnych w różnych krajach. Proszę zauważyć, że treści mają charakter wyłącznie informacyjny i nie powinny być traktowane jako porada medyczna ani wytyczne. Proszę skonsultować się z lekarzem lub wykwalifikowanym pracownikiem medycznym przed rozpoczęciem lub zmianą leczenia.

Uzyskać bezpłatną konsultację

Proszę wybrać wygodny sposób komunikacji